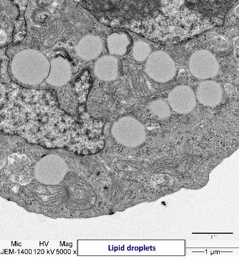
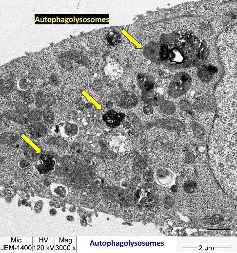
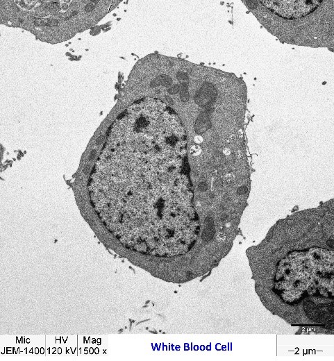
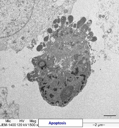
Electron Microscope AtlasCellEpithelial cellBacteriaYeastTissueColonColon villiHeart muscleOrganellesMitochondriaDistorted mitochondriaRough ERDilated RERGolgi complexDistorted Golgi stackingNucleusNucleusNucleolusNuclear PoreMacromoleculesProteinDNAChromatinPhagesPodoviridaeMyoviridaeSmaller StructuresExosomesCentrosomesFlagella TSLipid DropletsMulti-vesicular bodiesCell death eventsApoptosisNecroptosisAutophagyPhagophoreAutophagosomeAutophagolysomeMulti-lamellar bodiesCell to cell junctionsDesmosomeBlood cellsRBCWBCPlatelet Conceptualised by - Mrs. Siddhi A. Redkar, Facility-In-Charge